診療案内

審美歯科・ホワイトニング

審美歯科治療とは?

審美歯科・ホワイトニングとは?

歯の見た目(審美性)を 追求した歯科治療になります。
具体的には、歯を白くしたい、銀歯を白くしたい、歯並びを治したいなどになります。歯を白くする方法は、歯に人工の歯を被せたり、歯そのものを白くする方法があります。
歯を綺麗にしたい、笑顔をもっと輝かせたいなど、お気軽にSBS歯科クリニックにご相談ください。

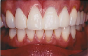
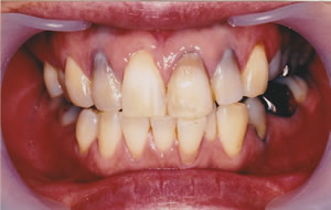
●セラミック歯科治療

前歯の治療(前歯にセラミックの冠を被せ歯を白くします)

前歯の治療前

施術前

前歯の治療後

施術後

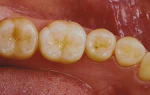
奥歯の治療(銀歯を目立たなくします)

奥歯の治療前

施術前

奥歯の治療後

施術後

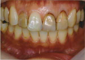
●ホワイトニング

ホワイトニング前 ホワイトニング後

上の歯はセラミックを被せ、下の歯にはホワイトニングをして、
全体的に歯を白く(美しく)しています。

●診療時間案内※診療予約は各終了時刻の30分前までにお願いいたします。

 

9:30~13:00

13:00~14:00

14:00~18:30

月~金

×

※9時00分~14時30分まで

日曜日・祝祭日

×

×

×

クリニックスタッフ募集

SBS歯科クリニック
●住所:東京都世田谷区用賀4-10-1 SBSタワー2階 / 電話:03-5717-2282(診療時間内にお願いいたします。)
●休診日:日曜日・祝祭日