診療案内

インプラント治療

インプラント治療とは?

インプラント治療とは?

少数の失った歯に対しての治療には、残ってる歯と歯を支えにして人工歯を入れるブリッジと人工の歯を直接骨に埋めるインプラント歯科治療があります。
インプラントは、失ってしまった天然歯のかわりにインプラント(人工の歯根)を顎の骨に埋め込み、その上に人工の歯を装着する治療になります。
このインプラント治療は、現在歯科医院で広く普及し、現在は一般的な治療になっています。SBS歯科クリニックではインプラントの治療を行っておりますので、お気軽にご相談ください。

●インプラント治療について

インプラントは、失ってしまった天然歯のかわりにインプラント(人工の歯根)を顎の骨に埋め込み、その上に人工の歯を装着する治療です。
健康な歯を削る必要もなく、固定性であるため自分の歯の感覚に近く噛む事ができます。「入れ歯を入れたくない」「歯を削りたくない」方にお勧めしています。

※インプラントは外科的処置を伴うことや、適応できない場合もございますので検査・診断及び同意を得て(インフォームド・コンセント)治療に入ります。

●治療の流れ

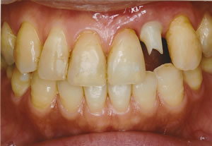
インプラントを入れる前です。

①インプラントを入れる前です。保存不可能な歯を抜歯しました。

インプラントの土台を入れたところです。

②抜歯した箇所にインプラントの土台を入れたところです。

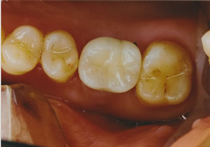
最後に人工歯(セラミック)をインプラントに被せます。

③最後に人工歯(セラミック)をインプラントに被せます。

●インプラント治療について

写真はインプラントの土台となるチタンを骨内に埋め込んだところです。

写真はインプラントの土台となるチタンを骨内に埋め込んだところです。

※口腔内の骨が良好でないとインプラント治療は出来ません。

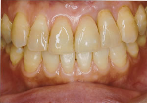
写真はインプラントの治療後になります。

写真はインプラントの治療後になります。
インプラント治療は、ブリッジや入れ歯のように周囲の歯に影響を与えない治療方法です。顎の骨の状態さえ良ければ、歯の位置や本数に制限はありません。

●インプラント治療の注意点

SBS歯科クリニックでは、歯を失った場合にインプラントをお勧めしておりますが、支えとなる顎骨が無い・脆いなどの場合は適応になりません。
その他、体質などによりインプラント適応にならない場合がございます。

●診療時間案内※診療予約は各終了時刻の30分前までにお願いいたします。

 

9:30~13:00

13:00~14:00

14:00~18:30

月~金

×

※9時00分~14時30分まで

日曜日・祝祭日

×

×

×

クリニックスタッフ募集

SBS歯科クリニック
●住所:東京都世田谷区用賀4-10-1 SBSタワー2階 / 電話:03-5717-2282(診療時間内にお願いいたします。)
●休診日:日曜日・祝祭日